Doctor in the middle of the operation

Made for anesthesiology

When speed and accuracy matter most

Improve precise placement on visually defined nerve blocks, so you can get in and out faster. And perform quick and thorough post-operative follow ups.

Learn how Lumify can work for you

Reduce complications

in needle guided procedures

Lumify handheld ultrasound for anesthesiology helps you clearly visualize border definition with your needle placement, surrounding nerves, vessels and fascial planes.

Reduce complications

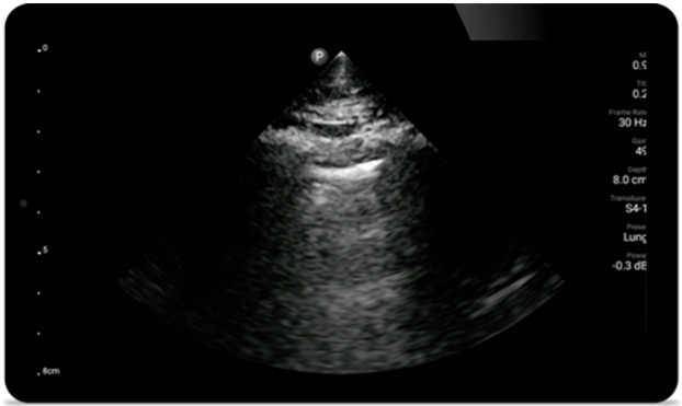
Use Lumify for airway and pulmonary assessment

Lumify POCUS solutions can help you detect the endotracheal tube within the trachea, assist in emergent cricothyrotomy procedures, diagnose pleural effusion and interstitial alveolar diseases.

Pulmonary assessment

Bring ultrasound bedside

Using Lumify at your patients bedside can be a valuable tool to determine the status of stomach contents and can lower the risk of pulmonary aspiration. Together, this can reduce the risk of anesthesia complications.

Patient getting ready for operation

What industry leaders think about Lumify

See for yourself
 

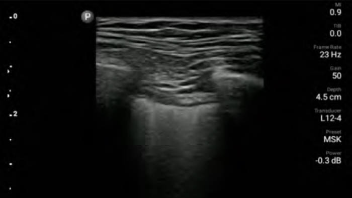
Lumify helps you clearly visualize needle placement, surrounding nerves, vessels and fascial planes.

Lumify transducers for anesthesiology

Broadband linear array transducer

Lumify L12-4 broadband linear array transducer

• 12 to 4 MHz extended operating frequency range
• Aperture size: 34mm
• 2D, steerable color Doppler, M-mode, advancedXRES and multivariate harmonic imaging, SonoCT
• High resolution imaging for shallow applications: soft tissue, vascular, superficial, musculoskeletal and lung
• Center line marker
• USB-C transducer with replaceable cable

Broadband phased array transducer

Lumify S4-1 broadband phased array transducer

• 4 to 1 MHz extended operating frequency range

• 2D, color Doppler, M-mode, advanced XRES and multivariate harmonic imaging

• High-resolution imaging for abdominal and cardiac applications: Cardiac, OB/GYN, Lung, Abdomen and FAST imaging preset optimizations

See more when it counts

From revealing the subtle details of an image to uncovering enriched tissue definition from multiple angles, Lumify can help you make real-time decisions with more confidence from assessment through recovery.

Padstatic case example image mobile
Padstatic case example image mobile

See more when it counts

From revealing the subtle details of an image to uncovering enriched tissue definition from multiple angles, Lumify can help you make real-time decisions with more confidence from assessment through recovery.

Discover how Lumify works in anesthesiology

Doctor working on the tablet

Case study

A patient with dyspnea

Phone next to the lumify product

Tutorial

Pre-hospital point of care cardiac ultrasound: pulmonary embolism

Patient getting treatment

Short lecture

Basics of lung ultrasound

We are always interested in engaging with you.

Let us know how we can help.

1
Select your area of interest
2
Contact details

You are about to visit a Philips global content page

Continue

You are about to visit a Philips global content page

Continue

Our site can best be viewed with the latest version of Microsoft Edge, Google Chrome or Firefox.